Traga conforto e harmonia para sua face com o Dr. Renato Baião
Você sente dificuldade para morder, falar ou até mesmo respirar corretamente? A Cirurgia Ortognática pode ser a solução! Esse procedimento corrige alterações ósseas no maxilar e mandíbula, melhorando a função mastigatória, a harmonia facial e a qualidade de vida.
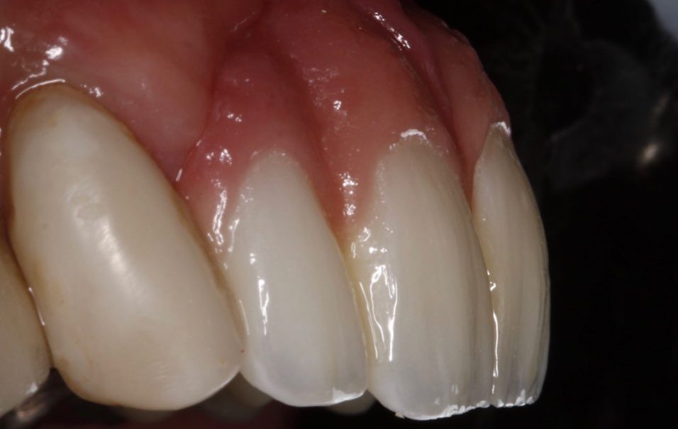
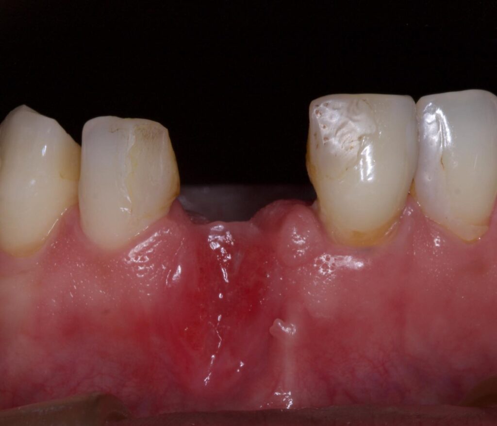
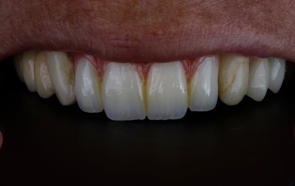
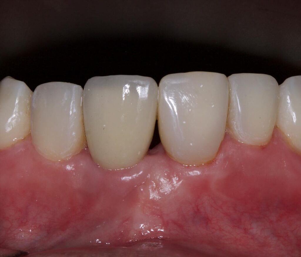
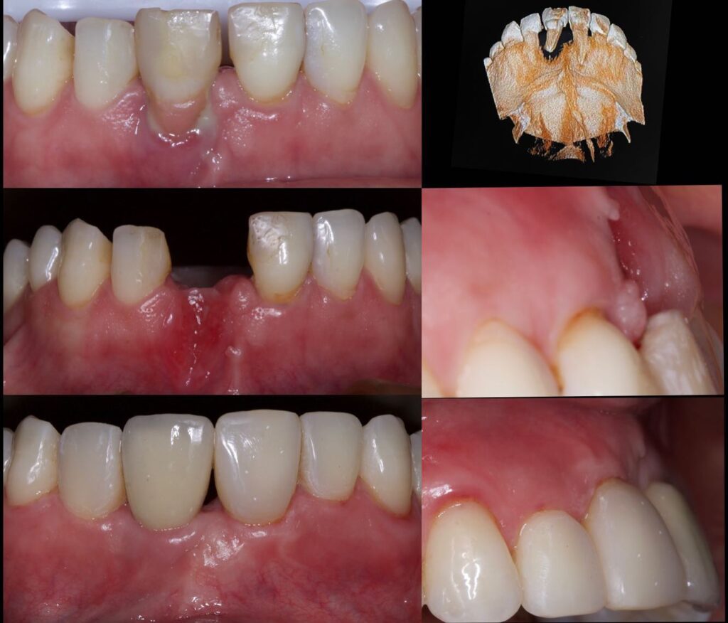
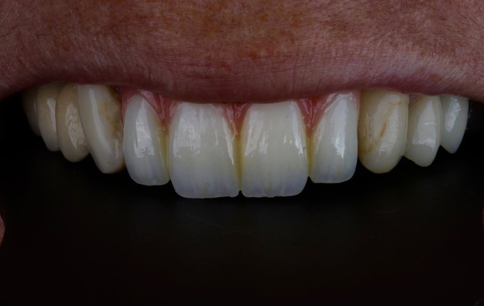
A perda de dentes pode comprometer não apenas a estética do sorriso, mas também a mastigação e a saúde bucal como um todo. Os implantes dentários são estruturas fixas que substituem a raiz do dente perdido, proporcionando suporte firme para coroas e devolvendo funcionalidade, conforto e confiança ao paciente. Uma solução moderna, segura e duradoura para restaurar o sorriso.
Aquele incômodo no fundo da boca pode ser causado pelos sisos! Quando não há espaço suficiente para nascerem corretamente, eles podem provocar dor, inchaço e até infecções. A extração do siso é um procedimento seguro que evita problemas futuros e alivia o desconforto.
Desconforto na região da mandíbula, bochechas, têmporas ou ouvidos, podendo estar ligado à ATM ou ao desalinhamento ósseo.
Mandíbula muito projetada, retraída ou mordida cruzada podem afetar a harmonia facial e prejudicar a mastigação.
Quando a posição dos maxilares compromete a mastigação eficiente e pode até interferir na dicção.
Estalos, cliques e crepitações ao abrir ou fechar a boca, sinalizando alterações na articulação temporomandibular.
Cefaleias que podem ser reflexo de tensão na musculatura facial ou desalinhamentos na ATM.
Dificuldade para abrir completamente a boca, bocejar ou falar, muitas vezes acompanhada de dor ou tensão.
Apertar ou ranger os dentes, gerando desgaste, dores musculares e estresse na articulação da mandíbula.
Ronco e apneia do sono podem ter relação com o posicionamento inadequado da mandíbula e maxilas.
Desconforto na região da mandíbula, bochechas, têmporas ou ouvidos, podendo estar ligado à ATM ou ao desalinhamento ósseo.
Mandíbula muito projetada, retraída ou mordida cruzada podem afetar a harmonia facial e prejudicar a mastigação.
Quando a posição dos maxilares compromete a mastigação eficiente e pode até interferir na dicção.
Estalos, cliques e crepitações ao abrir ou fechar a boca, sinalizando alterações na articulação temporomandibular.
Dificuldade para abrir completamente a boca, bocejar ou falar, muitas vezes acompanhada de dor ou tensão.
Cefaleias que podem ser reflexo de tensão na musculatura facial ou desalinhamentos na ATM.
Ronco e apneia do sono podem ter relação com o posicionamento inadequado da mandíbula e maxilas.
Apertar ou ranger os dentes, gerando desgaste, dores musculares e estresse na articulação da mandíbula.





Dr. Renato Baião é Cirurgião Bucomaxilofacial com mais de 12 anos de experiência em Cirurgia e Traumatologia Bucomaxilofacial e Implantes Dentários. É graduado pela UFJF, com especialização pela AHB/APCD–Bauru e mestrado em Implantodontia pela SLM-Campinas, integrando a equipe Implanteperio, referência internacional. Atua com foco em procedimentos como implantes, extrações complexas, cirurgias ortognáticas e tratamento de traumas faciais, sempre utilizando tecnologia de ponta, como scanner 3D e planejamento digital.
Na área acadêmica, é professor na UNIFAGOC e coordenador de cursos de especialização e aperfeiçoamento cirúrgico na Claro Academy. Membro do Colégio Brasileiro de Cirurgia Bucomaxilofacial, une experiência clínica e ensino, oferecendo tratamentos seguros, personalizados e baseados em evidência científica.
100% de avaliações positivas no Doctoralia
Lorem ipsum dolor sit amet, consectetur adipiscing elit. Ut elit tellus, luctus nec ullamcorper mattis, pulvinar dapibus leo.
Não, nem todas as pessoas são candidatas para a cirurgia ortognática. A indicação depende de uma avaliação criteriosa, que levará em conta fatores como o grau de desarmonia óssea, idade, saúde geral do paciente, estabilidade emocional e cooperação com o plano de tratamento. Além disso, é essencial que o crescimento ósseo da face esteja completo, o que geralmente ocorre após os 18-21 anos, dependendo do gênero.
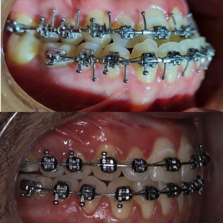
Sim. Eles são usados antes da cirurgia para garantir o melhor encaixe durante a cirurgia e durante algum tempo pós cirurgia para otimizar o ajuste final da dentição.
Etapa I: avaliação (ortodontista + cirurgião)
Etapa II: preparação (ortodontia)
Etapa III: cirurgia
Etapa IV: acompanhamento pós-operatório
Etapa V: acompanhamento
Os problemas mais crônicos são os relacionados as dores da mandíbula/maxilo fora de encaixe, no entanto, há também as inúmeras dificuldades respiratórias que prejudicam as atividades rotineiras dos pacientes, incluindo o sono.
Há também os prejuízos funcionais (nem sempre associados a dor), comprometimento social e por fim as dores relacionadas a insatisfação estética do paciente.
Essenza Odonto
Avenida Raul Soares, 356
Ubá – Minas Gerais
CEP: 36500-067